Esami Diagnostici per la valutazione della fertitlità

CMR Torino Centro Medicina Riproduttiva e Procreazione Assistita

Presso il C.M.R, offriamo un percorso completo di esami diagnostici dedicati alla valutazione della fertilità, rivolti sia alle donne che agli uomini. Grazie a tecnologie avanzate e a un team di specialisti qualificati, è possibile individuare eventuali cause di infertilità e pianificare il trattamento più adeguato.

Tra gli esami disponibili, includiamo visite ginecologiche e andrologiche, ecografie specifiche, test ormonali, analisi del liquido seminale e tecniche innovative come la sonoisterosalpingografia e l'isteroscopia. Ogni procedura è pensata per garantire il massimo comfort e accuratezza diagnostica, accompagnando le coppie in un percorso personalizzato e professionale.

Affidati alla nostra esperienza per affrontare con serenità ogni fase della diagnosi e trovare le soluzioni più adatte alle tue esigenze.

Visita specialistica ginecologica

Visita specialistica ginecologica

Consiste inizialmente nell’esplorazione bimanuale per valutare eventuali affezioni a carico degli organi genitali esterni (vulva e vagina) ed interni (utero, ovaie), a seguire viene svolto l’esame speculare per la valutazione visiva del collo dell’utero.

La visita può essere completata da un’ecografia transvaginale di supporto, per valutare la presenza o il sospetto di patologie come fibromi, polipi endometriali o cisti ovariche.

La visita e l’ecografia non sono dolorose.

Se richiesto, presso il centro è possibile effettuare il PAP TEST, esame che consente lo screening per la prevenzione di lesioni neoplastiche del collo dell’utero.

Ecografia pelvica

Ecografia pelvica

Questa metodica utilizza gli ultrasuoni emessi da una sonda appoggiata sull’addome (ecografia transaddominale) o inserita in vagina (ecografia transvaginale) attraverso cui si visualizzano su un monitor gli organi genitali interni, utero, ovaie e tube, quest’ultime visualizzabili solo se patologicamente dilatate (idro/sactosalpinge).

L'obiettivo è visualizzare la morfologia di questi organi e identificare eventuali masse atipiche o malformazioni.

Questo esame non è doloroso e non comporta rischi perché non sfrutta radiazioni ionizzanti ma onde a ultrasuoni, innocue per l'organismo.

Sonoisterosalpingografia

Sonoisterosalpingografia

È una metodica ecografica, che permette di valutare la pervietà tubarica e di identificare e/o escludere alterazioni della cavità uterina.

Consiste nell’introduzione, attraverso un catetere di piccole dimensioni inserito per via vaginale, di 10-20 cc di soluzione fisiologica e aria nella cavità uterina, con conseguente passaggio (o non passaggio) della stessa attraverso le tube in cavità peritoneale.

L'esame deve essere effettuato entro il 12° giorno del ciclo mestruale.

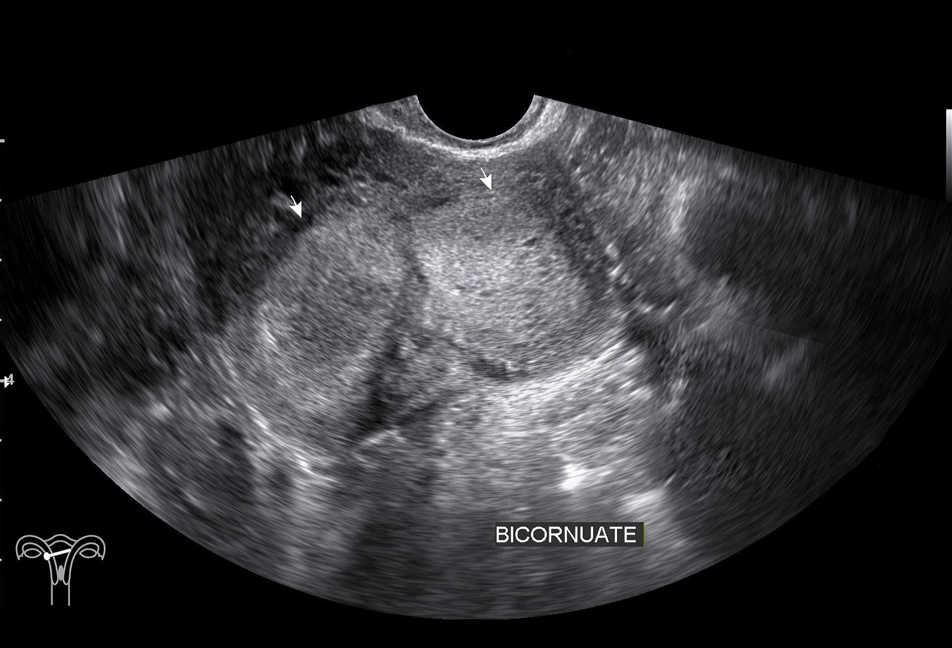
Sonoisterografia 3D

Sonoisterografia 3D

Questa tipologia di esame diagnostico permette di valutare, mediante un'ecografia 3D, l'interno della cavità uterina e la possibile presenza di patologie ad essa collegate.

Viene eseguita quando si sospetta una malformazione o la presenza di polipi, fibromi o aderenze (sinechie).

Si esegue in regime ambulatoriale in maniera indolore.

Monitoraggio ecografico dell'ovulazione

Monitoraggio ecografico dell'ovulazione

Il ciclo ovarico, naturale o stimolato farmacologicamente, viene monitorato con ecografie seriate della crescita follicolare ed endometriale, fino al momento dell’ovulazione.

Questo monitoraggio ecografico spesso è associato a un monitoraggio ormonale della produzione di estradiolo ed eventualmente di altri ormoni coinvolti nel meccanismo dell’ovulazione.

Post coital test (PCT)

Post coital test (PCT)

Questa tipologia di esame diagnostico prevede un prelievo di muco cervicale eseguito dalle 3 alle 5 ore dopo un rapporto. Per la corretta esecuzione del PCT è necessario che la donna sia in fase preovulatoria; infatti la produzione del muco è indotta dall’Estradiolo che, agendo a livello cervicale, riduce la cellularità, abbassa la viscosità e conferisce tutte le caratteristiche necessarie a consentire il passaggio di spermatozoi.

Il PCT è negativo quando gli spermatozoi non sono in grado di risalire le vie genitali femminili. Ciò è secondario o ad un problema del muco (alterazione del pH, flogosi, anticorpi, scarsa estrogenizzazione) o ad un problema seminale.

Il PCT positivo invece esclude l'eventuale problema di fertilità da causa maschile o cervicale, pertanto se esiste un problema questo potrebbe essere riferibile ad un problema uterino, tubarico o di ovulazione.

Isteroscopia

Isteroscopia

È un metodo endoscopico che permette di diagnosticare ed eventualmente trattare diverse condizioni patologiche a carico dell’utero (cervice e corpo).

Viene eseguita mediante l’introduzione attraverso il canale cervicale di un sottile strumento a fibre ottiche. In oltre il 95-97% dei casi l’esame è eseguibile ambulatorialmente.

L’isteroscopia consente di diagnosticare malformazioni uterine e l'eventuale presenza di aderenze, polipi, fibromi e tumori dell'utero. Durante l'esame si possono prelevare campioni di tessuto da analizzare con un esame istologico.

    Le indicazioni principali sono:
  • sanguinamenti uterini anomali
  • studio della paziente infertile
  • definizione di anomali ispessimenti endometriali (rilevati all’ecografia)
  • sospetto ecografico di polipi endometriali o fibromi sottomucosi
  • abortività ripetuta
  • sospetto di malformazioni uterine
Visita specialistica andrologica-urologica

Visita specialistica andrologica-urologica

È una visita, finalizzata a valutare la fertilità maschile, che permette di evidenziare, in maniera non invasiva e indolore, l’eventuale presenza di anomalie anatomiche, le alterazioni causate da processi infettivi o traumatici o di monitorare l’andamento di patologie precedentemente diagnosticate, per le quali il paziente è in cura.

Analisi del liquido seminale (Spermiogramma)

Analisi del liquido seminale (Spermiogramma)

Una coppia che stia affrontando un percorso diagnostico della propria infertilità deve necessariamente pensare di eseguire uno spermiogramma, ovvero un esame che si effettua sul campione di liquido seminale ottenuto mediante masturbazione e opportunamente raccolto in un apposito contenitore sterile per le urine.
Per effettuare l’esame è necessario un periodo di astinenza da rapporti sessuali (eiaculazioni) compreso tra i 2 e i 6 giorni.
Il nostro centro è dotato di appositi locali per la raccolta del liquido seminale.

In casi straordinari è possibile effettuare la raccolta seminale presso il proprio domicilio, ma è strettamente necessario consegnare al laboratorio il campione non oltre 40 minuti dall'avvenuta raccolta ed evitando drastici sbalzi termici (20-37 C°).

Inizialmente nello spermiogramma vengono analizzati i parametri macroscopici quali il volume complessivo, l’aspetto e l’odore del campione, il pH, il grado di liquefazione e di viscosità e l’eventuale presenza di cellule rotonde.

    Successivamente vengono esaminati i parametri microscopici che sono:
  • concentrazione nemaspermica;
  • motilità nemaspermica;
  • morfologia nemaspermica.
    Le alterazioni di questi parametri definiscono:
  • Azoospermia (assenza di spermatozoi nell’eiaculato);
  • Oligozoospermia (riduzione del numero degli spermatozoi);
  • Teratozoospermia (alterazioni morfologiche degli spermatozoi);
  • Astenozoospermia (riduzione della percentuale di spermatozoi mobili).

È possibile completare l'analisi effettuando una spermiocoltura.

Spermicoltura

Spermicoltura

Quest'analisi di valutazione della fertilità si effettua su un campione di liquido seminale e ha lo scopo di andare a ricercare l'eventuale presenza di popolazioni microbiologiche responsabili di processi infiammatori a carico delle vie genitali.

In alcuni casi possono essere la causa del mancato processo di fecondazione.

Analisi del liquido seminale con capacitazione

Analisi del liquido seminale con capacitazione

È un test che prevede, attraverso la rimozione del plasma seminale mediante lavaggio, la valutazione del numero degli spermatozoi “migliori” dal punto di vista morfologico e della motilità, separandoli dagli spermatozoi morti e dai detriti.

    Esistono diverse procedure per ottenere questa selezione, in particolare:
  • Swim-up (migrazione ascendente);
  • Separazione su gradiente di densità.
Test di frammentazione del DNA spermatico

Test di frammentazione del DNA spermatico

Questo tipo di test, come indica il suo nome, ha lo scopo di ricercare rotture o lesioni del materiale genetico dello spermatozoo.

La frammentazione del DNA spermatico può essere causata da alterazioni del processo di spermatogenesi, da una eccessiva produzione di specie reattive dell’ossigeno nell’eiaculato, dall'esposizione a tossine ambientali o industriali, stress ossidativi, il fumo.Tutte queste sono cause ben note che determinano frammentazione del DNA e infertilità.

La percentuale di spermatozoi che possiede DNA frammentato viene rilevata mediante il metodo TUNEL (acronimo di Terminal deoxynucleotidyl transferase dUTP Nick End Labeling), il quale prevede l'impiego di enzimi in grado di identificare la presenza di punti di rottura presenti nella doppia elica del DNA.

Un campione di liquido seminale con una percentuale di spermatozoi con DNA frammentato superiore al 30% viene considerato patologico.

MAR test

MAR test

Prevede la ricerca di autoanticorpi antispermatozoi, che talvolta possono legarsi alla superficie degli spermatozoi inibendone la funzionalità e interferendo nel processo di fecondazione.

Questo test di screening permette di identificare l'eventuale presenza significativa di due principali classi di immunoglobuline (IgA e IgG) legate alla supeficie dello spermatozoo.

    Il MAR Test è indicato quando:
  • l'astenozoospermia, ovvero la scarsa motilità degli spermatozoi, non è associata a una riduzione del loro numero;
  • presenza di malattie autoimmuni o infertilità inspiegata;
  • presenza evidente di agglutinazioni nel liquido seminale.
Agoaspirato testicolare

Agoaspirato testicolare

Quest'esame consiste in un prelievo per aspirazione degli spermatozoi mediante un ago che penetra la cute, cui si ricorre quando questi non sono rintracciabili nel liquido seminale.

Il prelievo si rende necessario qualora il partner maschile presenti una azoospermia (cioè mancanza di spermatozoi nell'eiaculato) dovuta ad una ostruzione delle vie seminali.

A volte possono essere rinvenuti nel testicolo o nell'epididimo, anche se in numero molto ridotto.

FISH Test

FISH Test

Il FISH test (Fluorescence In Situ Hybridization) è una tecnica di biologia molecolare utilizzata per rilevare specifiche sequenze di DNA o RNA in cellule o tessuti.

Utilizza sonde fluorescenti che si legano a sequenze complementari, permettendo di visualizzare la loro posizione.

In ambito di Procreazione Medicalmente Assistita (PMA), il FISH Test viene applicato sull'analisi degli spermatozoi. Rappresenta lo studio dei cromosomi negli spermatozoi mediante l'uso di sonde fluorescenti. Questo test ci permette di identificare se la composizione cromosomica degli spermatozoi è normale o meno.

Il FISH Test rappresenta uno strumento utile per la generazione di embrioni di miglior qualità

Non rimandare il tuo sogno di diventare genitore!

Prenota oggi stesso il tuo primo incontro e scopri come possiamo aiutarti.

Prenota il tuo primo incontro
Il team del C.M.R Torino

Consulenza Online

Lo staff del CMR rimane al vostro fianco attraverso l'attivazione di uno sportello di CONSULENZA ONLINE , in cui risponderà a tutti i vostri dubbi, al fine di instaurare un primo approccio e iniziare un importante percorso insieme.